【完全保存版】クマ取りダウンタイムはどれくらい?実際にクマ取りを受けた社員2名のダウンタイムレポート大公開!回復期間と早く治す為の過ごし方
2025.12.10


社員指名殺到中の東医師のクマ取り🐻
今回はSBC社員のクマ取りダウンタイムに密着📷他院からわざわざ東医師を指名してクマ取りしに来てくれました!「クマ取りやってみたい!けどダウンタイムが気になる…」「ダウンタイム休みどれくらい取らなきゃいけないの?」そんなお悩みを抱える方必見!実際のダウンタイムレポートや、ダウンタイムにおすすめの過ごし方、東医師のクマ取り症例写真など内容は盛り沢山♪ぜひ最後までご覧ください🫶
クマ取りダウンタイムの目安
STEP 01
施術〜仕上がりまで
強い内出血が出た場合は3週間ほど残る場合もありますが、1~2週間ほどで消失していくことがほとんどで、個人差にもよりますが大体3ヶ月が仕上がりの目安と言われています。
STEP 02
ダウンタイム中に起こる症状
☑︎内出血:目の周りの血管に傷がついたりすると内出血が出ることがあり、目の周りが変色するなどの症状となります。
☑︎痛み:人によっては痛みを感じることがあります。
☑︎出血:治療後時間が経つと出血の可能性があります。
☑︎むくみ:手術後もむくみ感が続きますが、1ヶ月後程度でほとんど落ち着きます。
社員さんのクマ取りダウンタイム🐻
CASE 01
名古屋院Ns:Aさんの場合
年齢:20代
悩み:目の下の膨らみが気になる。
施術名:裏ハムラ法/ナチュラル脂肪注射コンデンスリッチ
CASE 02
名古屋駅本院Ns:Bさんの場合
年齢:20代
悩み:笑った時に出るクマが気になる
施術名:裏ハムラ法/クイックコスメティークダブル
これで完璧!ダウンタイム完全マニュアル📗
STEP 01
ダウンタイムを早く終わらせるためには?
☑︎術後3日間は保冷剤や冷えピタで目元を冷やす
☑︎飲酒・入浴・激しい運動は控える
☑︎枕を高くして仰向けで寝る
☑︎腫れを軽減する薬(シンエックなど)を服用する
STEP 02
ダウンタイム軽減に使えるアイテム
クマ取り手術後48時間は目元を冷やすことで、腫れや内出血の引きが早くなる効果があります。なので冷えピタや保冷剤で目元を冷やしていただくことがお勧めです。
☑︎シンエック(腫れ軽減薬)
腫れを軽減するお薬としてシンエックがございます。
シンエックはハーブのようなものなので、副作用がほとんどございません。もし、少しでも腫れ軽減したい方は術後4日間飲んでいただくことをおすすめします。
湘南四日市院院長、東医師が選ばれる理由
REASON 01
社員指名殺到中の圧倒的技術力💪
REASON 02
ダウンタイムへのこだわり
REASON 03
施術中の痛みへの配慮
施術を受けられたお客様からは施術中とても優しかった!など嬉しいお声も沢山頂いております♡
東医師のクマ取り症例写真
PHOTOGALLERY 01
クマのタイプによって施術方法は様々。
【クマ取りをお得に受ける裏技】
MONITORCAMPAIGN 01
クマ取りモニターに応募する!
現在クマ取りモニター積極採用中!ぜひ奮ってご応募ください!
よくある質問
QUESTION 01
クマ取りって痛いの?
QUESTION 02
カウンセリング当日に受けることも出来るんですか?
QUESTION 03
日によって出たり出なかったりします。まだ治療すべきではないでしょうか?
QUESTION 04
クマ取り施術後、何日休む?
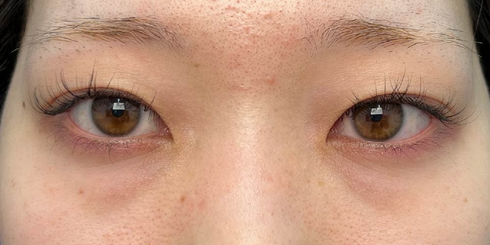
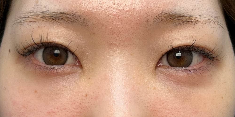
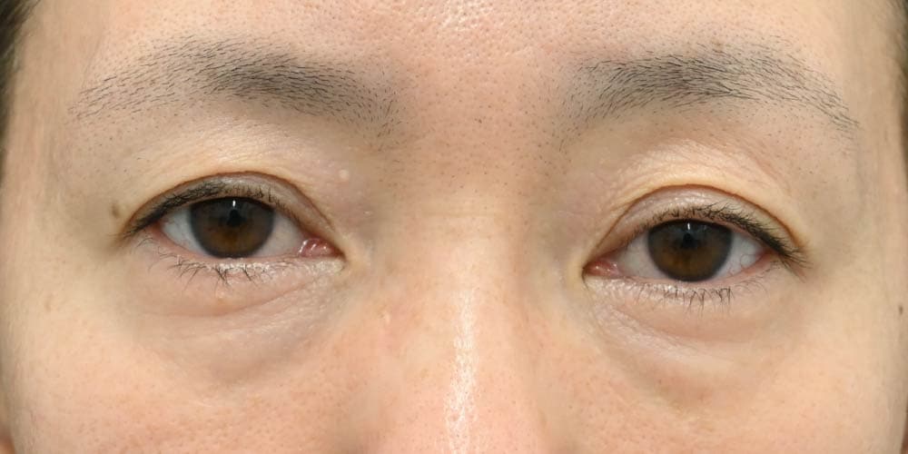
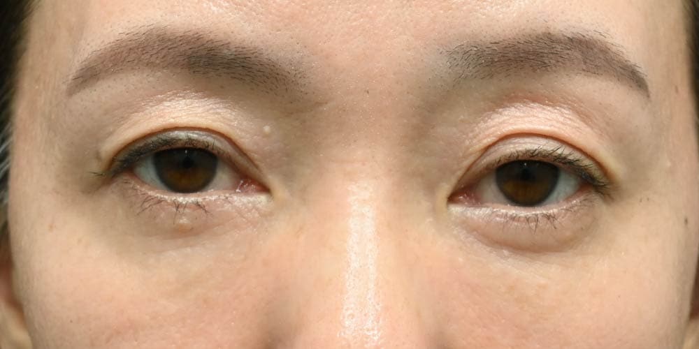
BEFORE AFTER施術前と施術後の変化
-
施術前

1 週間後

-
施術前

1 週間後

-
施術前

3 ヶ月後

-
施術前

3 ヶ月後

POPULAR四日市院の人気の特集を見る
-


2025.9.17
お得情報
【5000円分プレゼント❣️】施術や商品購入に使える!湘南美容クリニックの友達紹介制度を徹底解説!ポイント付与のタイミングや注意点などまとめました。
-


2025.11.27
肌治療
【シミ取り 三重】三重でシミ取りするなら?初めてでも安心!シミの種類や治療の選び方、ダウンタイム術後のケアまで徹底解説。
-


2025.12.1
二重・目元整形
【二重整形ダウンタイム】はどれくらい腫れる?実際に湘南四日市院で埋没法を受けた社員2名のダウンタイムレポート大公開!回復期間と早く治す為の過ごし方
-


2025.12.10
アンチエイジング
「目の下のクマは4種類|タイプ別の原因と治療法をたるみ治療専門医が徹底解説」
CLINICクリニック案内

モニター募集
駅チカ
| 所在地 | 〒510-8585 三重県四日市市諏訪栄町7-34 近鉄百貨店四日市店8階 |
|---|---|
| 診療時間 |
AM10:00~PM7:00(最終カウンセリング予約PM5:30まで) ※休診日:全日営業(元旦のみ休診) |
| アクセス | 近鉄四日市駅 直結 ※当院は提携駐車場が無い為、近鉄百貨店の駐車券サービスがご利用頂けません。予めご了承下さい。※ |
湘南美容クリニック四日市院では皮膚科治療を始め、
痩身、小顔治療、二重術、クマ取りなど幅広い施術を取り扱っております。
近鉄四日市駅から直結のアクセスしやすい立地です♪
まずはお気軽に、お電話もしくはメールにてお問い合わせください。
監修医師紹介
・ジュビダームビスタ認定医



